Maus-tratos contra quatis no Bosque de Marília chocam moradores: animais são alvos de disparos e Prefeitura denuncia crime ambiental

Casos de maus-tratos contra quatis no Bosque Municipal de Marília geram alerta e indignação.

A Secretaria do Meio Ambiente e Serviços Públicos de Marília emitiu um alerta preocupante sobre a população de quatis que frequenta o Bosque Municipal. Relatos recentes indicam que os animais têm sido vítimas de **maus-tratos severos**, incluindo disparos de espingarda de chumbo, uma prática que pode configurar crime ambiental.

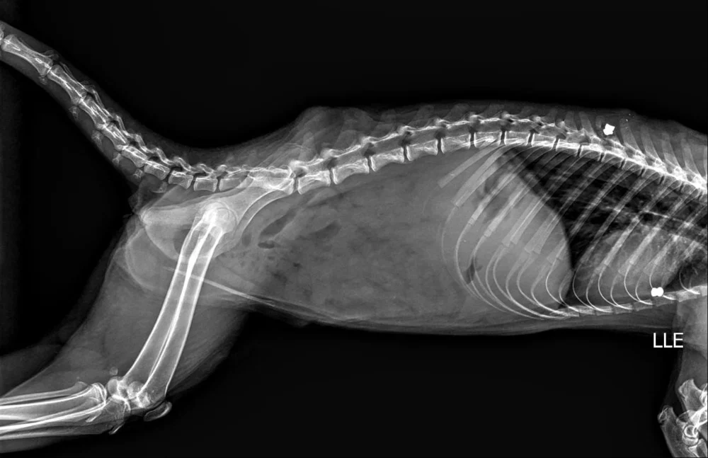
Um dos casos mais alarmantes envolve uma fêmea de quati que apresentava projéteis alojados em seu corpo, inclusive na região da coluna vertebral. A médica veterinária Melissa Campitelli, após realizar um raio-x em um dos animais, confirmou a presença de dois chumbinhos em seu organismo, evidenciando a crueldade com que os quatis estão sendo tratados.

Diante da gravidade da situação, a Prefeitura de Marília informou que irá formalizar uma denúncia junto à Polícia Ambiental para investigar e punir os responsáveis por esses atos de crueldade. A informação foi divulgada conforme o relatório da Secretaria do Meio Ambiente e Serviços Públicos, que busca conscientizar a população sobre a proteção desses animais silvestres.

Quatis no Bosque: comportamento e realidade da população

O comunicado da Secretaria do Meio Ambiente esclarece que a presença dos quatis, que chama a atenção dos moradores, é muitas vezes mal interpretada. Os animais **não possuem um habitat fixo dentro do bosque**, mas sim nos vales da região, e utilizam o local principalmente em busca de alimentos. O principal acesso se dá por áreas próximas à rua Santa Helena, exigindo que atravessem vias urbanas.

Essas travessias são mais frequentes em horários de pico de tráfego, como entre 7h e 8h30, das 12h às 13h e das 17h às 18h30, especialmente nas imediações da Avenida Brigadeiro Eduardo Gomes e da Rua Santa Helena. A Secretaria também desmistifica a ideia de superpopulação, explicando que a **sensação de excesso se deve ao intenso deslocamento** dos animais ao longo do dia, o que aumenta sua visibilidade.

Alimentação e descarte irregular contribuem para a presença dos quatis

A oferta de alimento fácil, muitas vezes proveniente do **descarte irregular de resíduos** por parte de alguns cidadãos, também contribui para a presença constante dos quatis no entorno do bosque. Após se alimentarem, os animais retornam ao seu habitat natural no fim da tarde e durante a noite. O secretário adjunto, Rodrigo Más, reforçou que, apesar da percepção, não se trata de uma infestaçãoproporcional à área do bosque.

Proteção Legal e Ausência de Intervenção Autorizada

Por serem animais silvestres, os quatis são **protegidos por legislação federal**. Após consulta ao órgão ambiental estadual, não foi autorizada qualquer intervenção, como captura ou remoção, pois não há uma área adequada disponível para a soltura dos animais. A Prefeitura reitera a importância de respeitar a fauna silvestre e denuncia os atos de crueldade, buscando a conscientização para evitar futuros casos de maus-tratos.

Leia mais

PUBLICIDADE